메뉴 아이콘

Quick
Menu

상담신청하기

상담신청하기
더스퀘어치과 | 상담신청 닫기
내용보기

진료센터

정교하고 완벽한 진료를 추구합니다.

04

MINISH EVER

미니쉬 에버

내 나이는 50대, 치아는 20대!
내 아들보다 건강한 치아. 내 딸 보다 젊은 치아

더스퀘어치과 | 더스퀘어치과의 미니쉬 에버
더스퀘어치과 | 미니쉬치과병원 동일 미니쉬 시술

더스퀘어치과

x아이콘
더스퀘어치과 | 미니쉬치과병원 동일 미니쉬 시술

미니쉬

이제 더스퀘어치과에서도
미니쉬치과병원과 동일한
미니쉬 시술을 받으실 수 있습니다.

시간이 지날수록
노화되는 치아를 위한
미니쉬 안티에이징 솔루션

시간이 지날수록 노화되는 치아를 위한 미니쉬 안티에이징 솔루션

노화되는 치아 지켜만 보시면 안됩니다.
안티에이징 (Anti-aging) 화장품을 얼굴에 바르듯
치아도 미니쉬로 젊음을 되찾으세요.

치아만이라도 타임머신을 탈 수 있다면

미니쉬는 아름다움을 입힐 뿐 아니라 치아를 보강하여 치아 수명을 늘리는 효과가 있습니다.

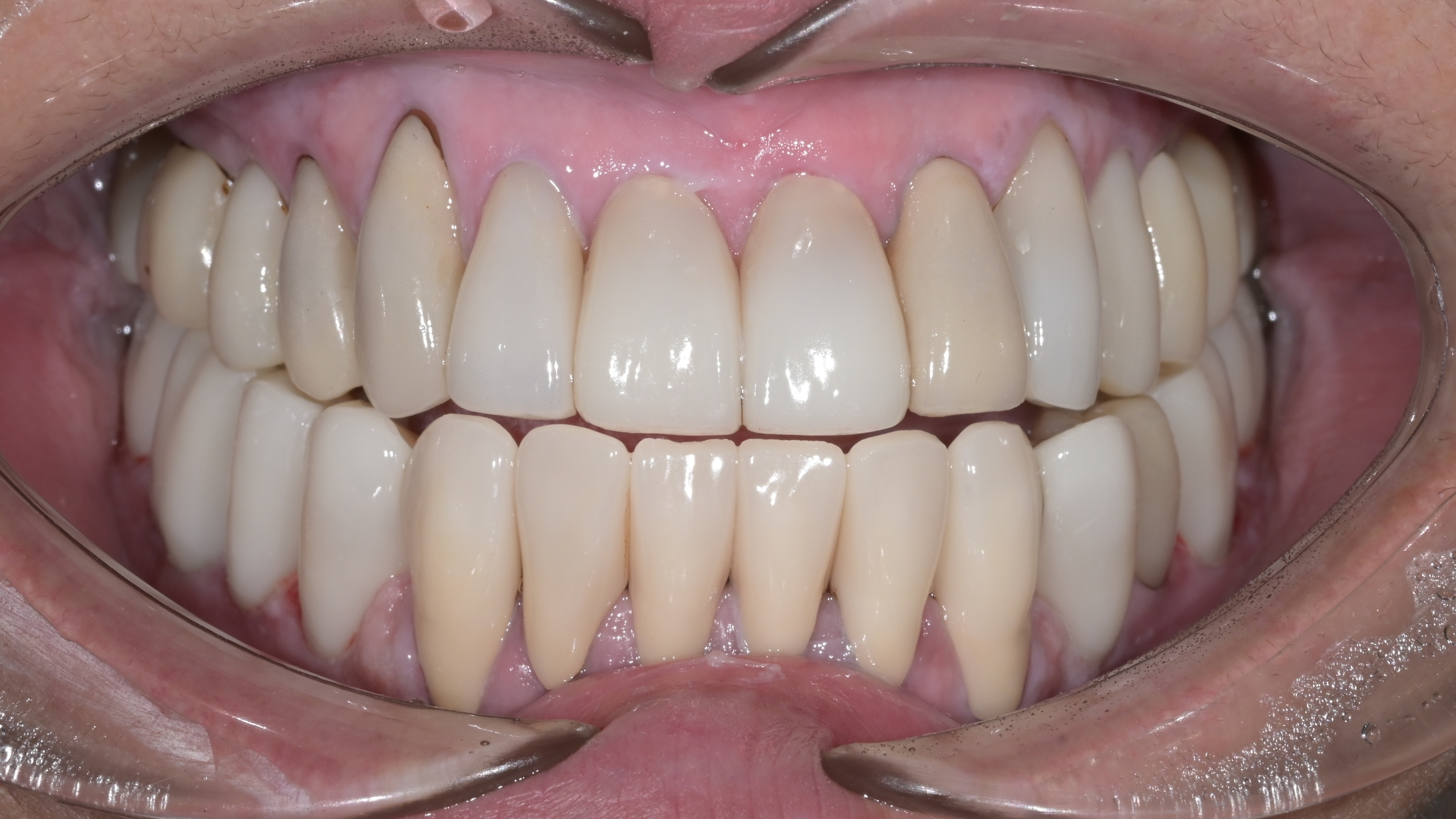
  • 더스퀘어치과 | 미니쉬 에버 솔루션 미니쉬 전
  • 더스퀘어치과 | 미니쉬 에버 솔루션 치아 정리 후
  • 더스퀘어치과 | 미니쉬 에버 솔루션 미니쉬 후

이제는 손상된 치아를 복구할 시간

더스퀘어치과 | 미니쉬 에버 솔루션 개별 제작 미니쉬
더스퀘어치과 | 미니쉬 에버 솔루션 개별 제작 미니쉬

WHY MINISH

더스퀘어치과 | 미니쉬 에버 솔루션 자연치아 유사 강도 물성

01

자연치아와 유사한 강도와 물성

본래 가지고 태어난 치아처럼 자연스러운 회복을 위해
특허를 받은 순도가 높은 천연광물(장석) 원재료를 사용하여
미니쉬를 제작하고 있습니다.

02

완벽한 결합을 위한 정교한 보철물 제작

3D 디지털 장비로 제작한 뒤 미니쉬 전문 기공사의 손길을 거쳐
초박의 정교한 보철물을 제작합니다.

03

완전 디지털화 된 치료과정

미니쉬 치료의 전 과정은 디지털화 되어 있어 편안하고 안정감 있는 치료를 받을 수 있습니다.

미니쉬 에버 후기

로그인 후 더 자세히
확인하실 수 있습니다.
로그인 하러가기

미니쉬 에버로 해결 가능한
치아의 노화 과정

더스퀘어치과 | 미니쉬 에버 치아 노화 해결 치아 교모

01

치아 교모

치아는 시간이 흐를수록 닳으면서 길이가 짧아집니다. 심미를 저해하고 치아가 약화 되기 때문에 보강이 필요합니다.

02

치경부 마모증

치아는 힘을 받으면서 양옆으로 휘게 됩니다.
이로 인해 치아의 가늘고 약한 목이 패이면서
치경부 마모증이 오게 됩니다.
시림 증상을 유발하고 치아를 약화시킵니다.

더스퀘어치과 | 미니쉬 에버 치아 노화 해결 치경부 마모증
더스퀘어치과 | 미니쉬 에버 치아 노화 해결 잇몸 퇴축

03

잇몸 퇴축

치주염으로 인한 치아의 이동과 뿌리의 노출은
심미를 크게 저해시킬 뿐만 아니라 취약한 뿌리가 드러나면서 뿌리 충치에 취약해질 수 있습니다.

04

치아 변색

시간이 지나면서 치아의 색은 점점 노랗게 변색됩니다.
내부 변색이 일어나는 것뿐만 아니라
하얀 치아를 만들어주는 법랑질이 얇아지고 부족해서입니다.
법랑질을 보강해 줌으로써 이를 해결할 수 있습니다.

더스퀘어치과 | 미니쉬 에버 치아 노화 해결 치아 변색

미니쉬 에버 전후 사진

로그인 후 더 자세히
확인하실 수 있습니다.
로그인 하러가기
Before
치료시작일2024. 09. 07
After
치료종료일2024. 09. 23
미니쉬로 변색해결
미니쉬로 변색해결
Before
치료시작일2025. 03. 18
After
치료종료일2025. 03. 27
치열 및 치아색상 개선
치열 및 치아색상 개선
Before
치료시작일2024. 12. 27
After
치료종료일2025. 02. 13
치간이개부, 치열 개선 위한 미니쉬
치간이개부, 치열 개선 위한 미니쉬
Before
치료시작일2024. 11. 16
After
치료종료일2024. 11. 28
교합거상 통한 전악 미니쉬
교합거상 통한 전악 미니쉬
Before
치료시작일2024. 08. 30
After
치료종료일2024. 09. 13
미니쉬 에버
미니쉬 에버
Before
치료시작일2024. 08. 22
After
치료종료일2024. 09. 26
전반적 깨진 치아 미니쉬 에버
전반적 깨진 치아 미니쉬 에버
Before
치료시작일2024. 02. 21
After
치료종료일2024. 03. 04
치아의 노화를 개선시키는 미니쉬 에버
치아의 노화를 개선시키는 미니쉬 에버
Before
치료시작일2024. 04. 08
After
치료종료일2024. 05. 08
미니쉬 에버
미니쉬 에버
Before
치료시작일2024. 04. 08
After
치료종료일2024. 05. 29
치아 사이의 스페이스 및 치아색상 개선
치아 사이의 스페이스 및 치아색상 개선
Before
치료시작일2023. 08. 22
After
치료종료일2023. 09. 19
미니쉬 하모니 및 미니쉬 브릿지로 위 치아 왼족 비어있는 공간 히결
미니쉬 하모니 및 미니쉬 브릿지로 위 치아 왼족 비어있는 공간 히결
미니쉬로 변색해결

J*님 64세, 여

치열 및 치아색상 개선

김은*님 52세, 여

치간이개부, 치열 개선 위한 미니쉬

주경*님 56세, 여

교합거상 통한 전악 미니쉬

H*님 35세, 여

미니쉬 에버

오영*님 68세, 여

전반적 깨진 치아 미니쉬 에버

김선*님 75세, 여

치아의 노화를 개선시키는 미니쉬 에버

함명*님 57세, 남

미니쉬 에버

장진*님 66세, 남

치아 사이의 스페이스 및 치아색상 개선

윤석*님 47세, 남

미니쉬 하모니 및 미니쉬 브릿지로 위 치아 왼족 비어있는 공간 히결

이동*님 53세, 남

상기 임상사진은 환자분들의 동의하에 게재되었음을 알려드립니다.
해당 치료들은 부작용이 있을 수 있으며 반드시 전문가의 상담을 받으셔야 합니다.

더스퀘어치과의
차별화된 미니쉬

  • 01

    더스퀘어치과 | 차별화된 미니쉬 서울대 보철과 박사 직접 디자인 제작

    서울대 보철과 박사님이
    직접 디자인하고 제작합니다.

  • 02

    더스퀘어치과 | 차별화된 미니쉬 진단 치료계획

    아름다움과 건강
    모두를 고려한
    진단과 치료계획

  • 03

    더스퀘어치과 | 차별화된 미니쉬 디지털 제작 과정

    정교한 디지털 제작 과정

  • 04

    더스퀘어치과 | 차별화된 미니쉬 나노접착 과정

    변하지 않고 오래가는
    미니쉬를 위한
    꼼꼼한 나노접착 과정

  • 05

    더스퀘어치과 | 차별화된 미니쉬 섬세한 교합조정

    기능을 극대화하기 위한
    섬세한 교합조정

더스퀘어치과의 스마일 디자인 원칙

더스퀘어치과 | 스마일 디자인 원칙 볼튼 비율

Bolton Ratio

01

볼튼 비율

위 아래 치아의 조화를 위한
치아의 개별적인 크기와 이상적인 비율

02

RED, Recurring Esthetic Dental Proportion

레드 비율

첫 번째 앞니와 두번째 앞니, 그리고 송곳니가 각각 1:0.618:1.618의 비율을 이룰 때를 황금비율이라고 하며 62% RED 비율이 나오게 됩니다.

하지만 이는 아래턱과 악궁이 좁은 서양인에서 자연스러운 비율이며 아시아인의 얼굴에서는 70~80% 사이의 RED 비율이 일반적으로 더 자연스러우면서 아름다운 스마일 라인을 보입니다.

더스퀘어치과 | 스마일 디자인 원칙 레드 비율

미니쉬는 어떻게 만들어질까요?

  • 더스퀘어치과 | 미니쉬 과정 1차 검진 및 상담

    01

    1차 검진 및 상담

    • 01

      접수 및 문진

    • 02

      1차 구강 진단
      (엑스레이 및 구강 사진 촬영)

    • 03

      구강 검진 및 1차 상담

  • 더스퀘어치과 | 미니쉬 과정 2차 정밀 진단 및 개별 상담

    02

    2차 정밀 진단 및 개별 상담

    • 01

      2차 정밀 진단 (디지털 치아 스캔 및 안모 사진 촬영)

    • 02

      치아 디자인 예상 모형 상담 (선택)

  • 더스퀘어치과 | 미니쉬 과정 미니쉬 제작 준비 단계

    03

    미니쉬 제작 준비 단계

    • 01

      잇몸 케어 및 잇몸 성형 (선택)

    • 02

      미니쉬 전 마취 (선택)

    • 03

      치아 표면 세마 및 정돈

    • 04

      디지털 스캐너를 이용한 치아 스캔

  • 더스퀘어치과 | 미니쉬 과정미니쉬 디자인 및 제작

    04

    미니쉬 디자인 및 제작

    • 01

      스캔을 토대로 CAD 프로그램 상에서 미니쉬 디자인

    • 02

      CAM 기공장비로 미니쉬 제작

    • 03

      전문 기공사의 핸드 트리밍 및 컬러링 작업

  • 더스퀘어치과 | 미니쉬 과정 미니쉬 접착 및 미세 조정

    05

    미니쉬 접착 및 미세 조정

    • 01

      미니쉬 결합 전 마취 (선택)

    • 02

      미니쉬 디자인 최종 체크

    • 03

      자연치아와 미니쉬 결합

    • 04

      결합 후 미세 조정

    • 05

      미니쉬 관리법 설명

미니쉬 정품 보증서

미니쉬는 정품 보증서를 발급하여 5년 보증을 받으실 있는
안전하고 믿을 수 있는 치료입니다.

더스퀘어치과 | 미니쉬 정품 보증서

미니쉬 정말 무삭제로 가능한가요?

더스퀘어치과 | 미니쉬 무삭제 가능

01

작은 치아

작거나 얇은 치아를 정상 크기로 돌리는 경우 치아 삭제가 전혀 없는 무삭제 미니쉬가 가능합니다.
이 경우 접착력을 극대화하기 위하여 오염되지 않은 새로운 에나멜층을 확보하기 위한 표면 연마 작업만을 필요로 합니다.

02

배열이 좋지 않은 치아

치아의 배열의 틀어짐을
미니쉬만으로 해결을 하고자 하는 경우에는
배열선상에서 튀어나온 부분은 안으로 다듬어
눌러주는 과정이 필요해집니다.
불필요한 삭제를 피하기 위해서는
정밀한 진단과
치료계획 수립이 잘 이루어져야 하며
경우에 따라 교정 등의 복합적인 진료를
필요로 할 수도 있습니다.

더스퀘어치과 | 배열이 좋지 않은 치아

미니쉬는 약하지 않나요?

더스퀘어치과 | 미니쉬는 약하지 않나요

01

미니쉬 보철물

미니쉬는 치아의 모든 면을 덮는 크라운과는 달리
보통 치아의 보이는 면 만을 덮습니다.

이로 인해 물리적 유지력이 낮아 잘 탈락하거나 깨질 것이라는
염려가 많지만 미니쉬는 프레스 강화 계열의 포세린을
재료로 사용하고 다양한 접착 처리를 통해서 치아와 나노단위로
강력한 접착을 이루게 되어 자연치아와 구별될 수 없습니다.

유리 낱장으로는 부서지기 쉽지만, 유리가 접착이 되었을 때 강도가 기하급수적으로 올라가 강화유리가 되는 원리와 같습니다.

제대로 접착된 미니쉬의 수명은 일반 치아와 같습니다.

02

법랑질과 상아질

높은 결합력을 위한 전제조건은 적은 삭제량입니다. 그 이유는 치아
표면을 이루는 법랑질과의 접착력이 치아 내면을 이루는 상아질과의
접착력보다 훨씬 강하기 때문이고, 치아 삭제량이 늘어날 경우 법랑질과의 접촉면적이 줄어들기 때문입니다.

더스퀘어치과 | 미니쉬 법랑질과 상아질

미니쉬 자주 묻는 질문 (FAQ)

더스퀘어치과의 치과성형 노하우

더스퀘어치과의
치과성형 노하우

자세히 보기

더스퀘어치과 | 치아성형 상담

치아성형에 대한
자세한 상담을 받고 싶어요

자세히 보기

더스퀘어치과 | 치아성형 상담