메뉴 아이콘

Quick
Menu

상담신청하기

상담신청하기
더스퀘어치과 | 상담신청 닫기
내용보기

진료센터

정교하고 완벽한 진료를 추구합니다.

03

Full Mouth Rehabilitation

전체 임플란트

가치와 정성을 심는 더스퀘어치과의 전체 임플란트
데이터와 과학을 바탕으로
정교하고 완벽한 진료를 추구합니다.

더스퀘어치과 | 전체 임플란트

더스퀘어치과는 가격으로
환자를 유인하는 공장식 병원이 아닙니다

더스퀘어치과 | 치아 치료 마음가짐 더스퀘어치과 | 치아 치료 마음가짐
  • 말풍선 이미지
  • 말풍선 이미지
  • 말풍선 이미지

그래서,
더스퀘어치과는 약속드립니다.

  • 01

    더스퀘어치과 | 전문가가 책임 보증 진료

    전문가가 책임 보증 진료하겠습니다.

    더 이상 치아로 고통받고 고민하지 않으시도록 미소회복과
    얼굴재건 전문병원 더스퀘어치과가 책임 진료를 약속드립니다.

  • 02

    더스퀘어치과 | 정직 진료

    정직하게 진료하겠습니다.

    가족을 치료하는 마음으로 항상 정직하게 치료계획을 수립하고
    꼼꼼하게 진료하겠습니다.

  • 03

    더스퀘어치과 | 치아 치료 설명 의무

    설명을 다하겠습니다.

    정보의 비대칭성을 없애기 위해 모든 노력을 다하겠습니다.
    환자의 말씀에 귀 기울이고 설명에 대한 의무를 다하겠습니다.

더스퀘어치과 | 전체 임플란트 - 무치악 상태 구강 구조를 회복 임플란트 수술

전체 임플란트란?

전체 임플란트는 모든 치아가 기능성을 상실하여
무치악의 상태에서 구강 구조를 회복하는
임플란트 수술의 일종입니다.

기존 치아를 모두 회복해야 하기 때문에
치료의 복잡성과 난이도가 높습니다.

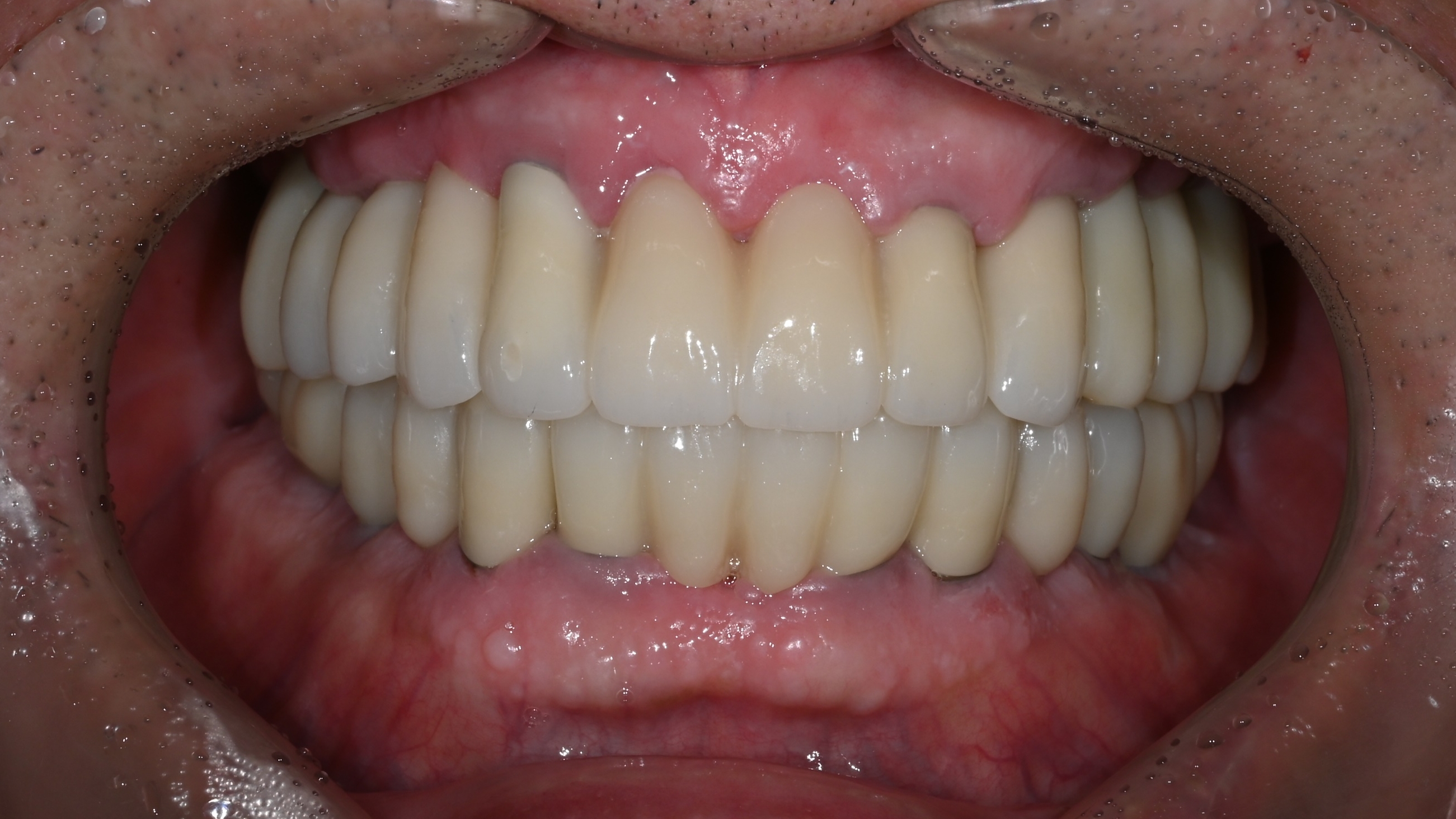
전체 임플란트 전후 사진

로그인 후 더 자세히
확인하실 수 있습니다.
로그인 하러가기
Before
치료시작일2023. 08. 12
After
치료종료일2024. 09. 24
앞니 및 전체임플란트로 안모 개선
앞니 및 전체임플란트로 안모 개선
Before
치료시작일2023. 12. 05
After
치료종료일2024. 12. 04
전체 임플란트를 통한 기능 및 얼굴 재건
전체 임플란트를 통한 기능 및 얼굴 재건
Before
치료시작일2024. 04. 12
After
치료종료일2024. 09. 23
구치부 교합거상 하여 전체적인 치열 및 안모개선
구치부 교합거상 하여 전체적인 치열 및 안모개선
Before
치료시작일2024. 01. 18
After
치료종료일2025. 01. 23
광화문치과 전체 임플란트를 통한 기능 재건
광화문치과 전체 임플란트를 통한 기능 재건
Before
치료시작일2023. 12. 05
After
치료종료일2024. 07. 26
심미개선, 교합거상 전체임플란트
심미개선, 교합거상 전체임플란트
Before
치료시작일2024. 03. 23
After
치료종료일2024. 09. 14
타원 임플란트 재보철, 전체 임플란트
타원 임플란트 재보철, 전체 임플란트
Before
치료시작일2023. 06. 15
After
치료종료일2024. 03. 07
교합거상 전체 임플란트
교합거상 전체 임플란트
Before
치료시작일2024. 01. 04
After
치료종료일2024. 06. 26
전체 임플란트
전체 임플란트
Before
치료시작일2023. 04. 05
After
치료종료일2023. 09. 01
상실된 다수치, 전체 임플란트로 안모개선 및 교합기능 회복
상실된 다수치, 전체 임플란트로 안모개선 및 교합기능 회복
Before
치료시작일2023. 06. 09
After
치료종료일2023. 12. 28
상악 턱 무치악, 편악 임플란트를 통한 기능 회복
상악 턱 무치악, 편악 임플란트를 통한 기능 회복
앞니 및 전체임플란트로 안모 개선

최윤*님 55세, 남

전체 임플란트를 통한 기능 및 얼굴 재건

캉펑*님 85세, 남

구치부 교합거상 하여 전체적인 치열 및 안모개선

박병*님 67세, 남

광화문치과 전체 임플란트를 통한 기능 재건

김만*님 65세, 남

심미개선, 교합거상 전체임플란트

캉펑*님 50세, 남

타원 임플란트 재보철, 전체 임플란트

조재*님 50세, 남

교합거상 전체 임플란트

박영*님 60세, 남

전체 임플란트

박순*님 70세, 남

상실된 다수치, 전체 임플란트로 안모개선 및 교합기능 회복

신길*님 56세, 남

상악 턱 무치악, 편악 임플란트를 통한 기능 회복

배성*님 58세, 남

상기 임상사진은 환자분들의 동의하에 게재되었음을 알려드립니다.
해당 치료들은 부작용이 있을 수 있으며 반드시 전문가의 상담을 받으셔야 합니다.

하고

수면 전체 임플란트

큰 수술 때문에 엄두가 안 나고 두려우신가요?
편안하게 잠 자고 일어나면 끝나 있습니다.

더스퀘어치과는 비급여 진료를 받으시는 모든 분께
부담없는 비용으로 수면치료를 도와드리고 있습니다.

더스퀘어치과 | 안전한 전체 임플란트
더스퀘어치과 | 원데이 전체 임플란트

나는

원데이 전체 임플란트

씹을 수 없는 어금니, 비어있고 흔들리는
부끄러운 앞니.
수술과 동시에 해결해드립니다.

기능과 심미를 동시에 회복 하는 더스퀘어치과의
원데이 임플란트는
치료 기간과 내원횟수를 줄이고
수술의 만족감을 극대화시킵니다.

전체 임플란트 후기

로그인 후 더 자세히
확인하실 수 있습니다.
로그인 하러가기

완성도가 다른
더스퀘어치과의 전체 임플란트

왜 전체 임플란트는 더스퀘어치과 일까요?

01

수술 경험과 데이터가 풍부한
임플란트 전문병원

수많은 수술을 진행한 전문가가 안전하고 확실한 결과를 만들어 냅니다.
모든 수술은 대표원장이 직접 집도하며 사후관리까지 책임집니다.

더스퀘어치과 | 수술 경험과 데이터가 풍부한 임플란트 전문병원

02

자체 디지털 기공소에서 만드는
편안하고 자연스러운 치아

통합치의학 전문의와 서울대 보철과 박사의 협진을 통하여 수술 후 완성되는 보철물까지
모두 대표원장과 수석 기공사가 직접 병원 내에서 제작을 합니다.

더스퀘어치과 | 자체 디지털 기공소에서 만드는 편안하고 자연스러운 치아

03

임플란트 수술만을 위한 시설과 안전 장비

더스퀘어치과는 매일 진행되는 수술에 대비해 안전을 위한 장비를 완비하고 있습니다.

더스퀘어치과 | 대학병원급 수술 시설과 안전 장비

04

안전한 임플란트 완성을 위한 필수 장비
Osstell Mentor와 Anycheck

임플란트 식립체와 뼈 간 골유착이 일어난 정도를 나타내는 지표인
ISQ (Initial Stability Quotient) value를 객관적으로 측정한 뒤 안전하게 보철물 과정을 진행합니다.

더스퀘어치과 | 안전한 임플란트 완성을 위한 필수 장비 Osstell Mentor와 Anycheck

05

정품 인증서 발급

더스퀘어치과는 모든 수술에 정품 인증서를 발급하여 수술의 신뢰도를 높입니다.

더스퀘어치과 | 정품 인증서 발급

06

최대 10년 책임 진료 보증제

치료만큼 중요한 관리. 더스퀘어치과는 여타 병원과는 차원이 다른 기간의 종합적인
진료 보증제를 운영하여 철저하게 짜여진 사후관리 프로그램을 통해
임플란트의 수명을 연장시키고 재수술 확률을 획기적으로 줄였습니다.

최대 10년 책임 진료 보증제

전체 임플란트를 위한
자체 디지털 기공소

더스퀘어치과 | 전체 임플란트 자체 디지털 기공소 원데이 임플란트

01

원데이 임플란트

수술 당일 치아가 올라갑니다.
수술과 동시에 자신 있게 웃으며 식사하세요.

02

네비게이션 임플란트

3D 가이드 수술로 빠르고 정교하게
최소절개로 진행하여
수술시간이 빠르고 회복도 빠릅니다.

더스퀘어치과 | 전체 임플란트 자체 디지털 기공소 네비게이션 임플란트
더스퀘어치과 | 전체 임플란트 자체 디지털 기공소 맞춤형 임플란트

03

맞춤형 임플란트

내 잇몸에 꼭 맞는 세상에 하나뿐인
커스텀 어벗트먼트는 임플란트의
편안함과 수명을 극대화시켜줍니다.

전체 임플란트 비용(가격)

전체 임플란트 가격은 병의원마다 상이합니다.
상악과 하악 모두 전체 임플란트를 들어간다고 가정했을 때 그 범위는 천 만원 중반대부터 이천 만원 후반대까지 달라질 수 있습니다.

가격에 영향을 주는 주 요소

  • 01

    더스퀘어치과 | 전체 임플란트 비용(가격) 개별 임플란트 가격

    개별 임플란트 가격

  • 02

    더스퀘어치과 | 전체 임플란트 비용(가격) 임플란트 식립 개수

    임플란트 식립 개수

  • 03

    더스퀘어치과 | 전체 임플란트 비용(가격) 부가 수술 여부(뼈이식, 상악동거상술 등)

    부가 수술 여부
    (뼈이식, 상악동거상술 등)

전체 임플란트 과정, 내원 횟수, 치료 기간

과정

  • 01

    수술+임시치아 완성

  • 3~12개월 후

  • 02

    본뜨기

  • 1~2주 후

  • 03

    최종치아 완성

내원 횟수 및 치료 기간

  • 골질, 턱관절 상태가 좋은 경우

    3회, 3개월

  • 골질, 턱관절 상태가 양호한 경우

    3~4회, 4~6개월

  • 골질, 턱관절 상태가 불량한 경우

    4~6회, 6~12개월

부위별 전체 임플란트 비교

01

아랫니(하악) 전체 임플란트

  • 아랫니 전체 임플란트 기간

    3~6 개월

    아랫니 전체 임플란트 개수

    6~10 개

  • 부가 수술 가능성

    임플란트 뼈이식

    자세히 보기

  • 아랫니 전체 임플란트 주의사항

    하악을 주행하는 하치조 신경관의
    감각이상에 주의해야합니다.

더스퀘어치과 | 부위별 전체 임플란트 비교 아랫니(하악) 전체 임플란트
더스퀘어치과 | 부위별 전체 임플란트 비교 윗니(상악) 전체 임플란트

02

윗니(상악) 전체 임플란트

  • 윗니 전체 임플란트
    기간

    3~12 개월

    윗니 전체 임플란트
    개수

    8~12 개

  • 부가 수술 가능성

    임플란트 뼈이식

    자세히 보기

    상악동 거상술

    자세히 보기

  • 아랫니 전체 임플란트 주의사항

    상악 어금니 부위에 자리 잡은
    상악동 천공에 주의해야 합니다.

전체 임플란트 vs
임플란트 틀니(풀아치 임플란트)

더스퀘어치과 | 전체 임플란트 임플란트 틀니(풀아치 임플란트) 비교

임플란트 틀니란?

임플란트 틀니는 다양한 이름으로 불리웁니다. 풀아치 임플란트, 하이브리드 임플란트, All-on-4 틀니 등이 있습니다.

전체 임플란트에 비하면 임플란트 틀니의 단점은 명확해집니다. 저작력도 전체 임플란트의 절반도 되지 않으며, 전체 임플란트도 다양한 형태로 치료계획을 짤 수 있기 때문에 합리적인 선에서 비용을 결정한다면 더 나은 선택지가 될 수도 있습니다.

임플란트 틀니 비용(가격)

어떤 경우에 임플란트 틀니를
사용할 수 있을까요?

  • 01

    임플란트 식립이
    부분적으로 불가능한 경우

  • 02

    여러 개의 임플란트 식립이
    부담스러운 경우

  • 03

    틀니의 불편감을
    줄이고 싶은 경우

비용

임플란트 틀니의 비용은 병의원 마다 상이하며 600~1200만원 사이에서 가격이 형성되어 있습니다. 임플란트 틀니의 비용에 영향을 미치는 요소는 개별 임플란트 비용, 필요 임플란트 개수, 부가적인 수술 필요 여부, 틀니 비용 등이 있습니다.

임플란트 틀니 치료 기간

하악의 경우 2~3개월 정도 소요되며 상악의 경우 3~4개월 소요됩니다. 고난이도 케이스의 경우 6~8개월 가량 소요될 수도 있습니다.

전체 임플란트 궁금한 점 (FAQ)

임플란트에 대한
모든 궁금증을 해결해드립니다.

임플란트에 대한
모든 설명을 듣고 싶어요

자세히 보기

더스퀘어치과 | 임플란트에 대한 모든 설명

임플란트에 대한
자세한 상담을 받고 싶어요

자세히 보기

더스퀘어치과 | 임플란트에 대한 자세한 상담